
Our Services
- Haul-in appointments and mobile care within approximately 30 minutes of Penn Valley.
- Experienced technical staff to safely handle your horse throughout the exam and procedures.
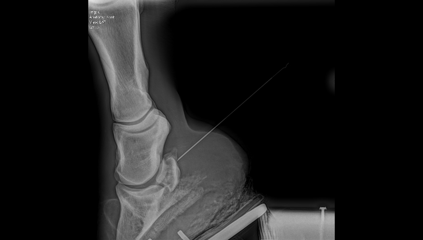
- Detailed lameness diagnostics and treatment, including digital x-rays, tendon/ligament ultrasound imaging, nerve blocking, joint injection therapies, ultrasound-guided treatments, and sport horse performance care.
- Regenerative Orthobiologic therapies, including Platelet-Rich Plasma, Pro-Stride APS, CenTrate bone marrow aspirate, and Amnion-derived treatments.
- Next-Gen non-steroid joint therapies including Arthramid and NoltrexVet.
- Illness workup with digital x-ray, ultrasound imaging, upper airway endoscopy, and laboratory services.
- General surgical care including wounds/lacerations, mass removal, enucleation, castration, etc.
- Wellness care including vaccination and dentistry.
Call/Text: 530-955-6556
Email: info@gatewayequine.com



Laura P- “Highly recommend Dr. Harms and his staff.”
Emily H- “I couldn’t recommend Dr. Harms and his team any more, I am so thankful for them!”
Kori T- “Shout out to Dr. Corey Harms and his staff. They are extremely knowledgeable and kind, and want to get your baby feeling better just as much as you do.”
